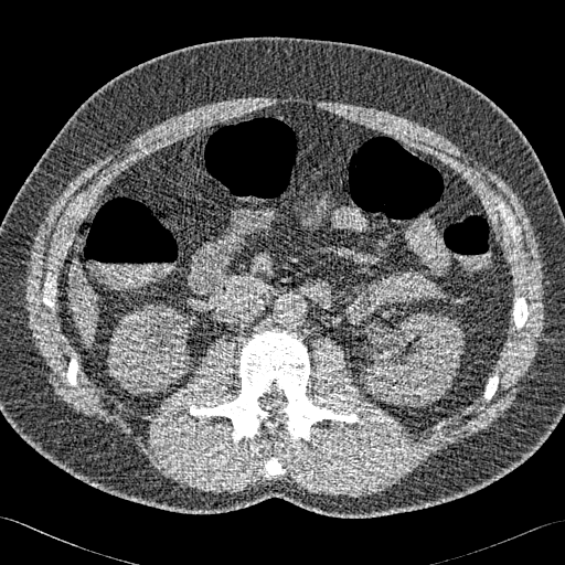
Der Patient muss abführen und bei der Untersuchung den Darm mit Luft aufdehnen, damit sich die Darmwand entfaltet. Dann werden während einer Atemanhaltephase in etwa 20 Sekunden mit einem Röntgen-Computertomografen (CT) circa 800 Bilder transversaler Schichten des Bauchbereichs aufgenommen. Die Helligkeit jedes Bildpunktes gibt an, wie stark an dieser Stelle die Röntgenstrahlung absorbiert wurde.
Das Bild rechts zeigt solch eine transversale Schicht. Die Helligkeitsfluktuation (Bildrauschen) ist typisch für CT-Aufnahmen mit sehr niedriger Strahlungsdosis.
|
 |