hhu_logo
Colotux
Niedrigst-Dosis-CT-Kolografie

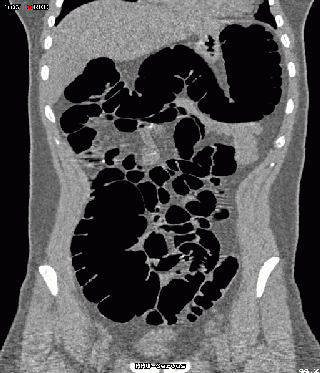
Entrauschung
eccet_logo
Zielsetzung Datenerfassung Entrauschung Segmentierung 3D-Visualisierung Polypendetektion Patienteninformationen

Je schwächer die bei der CT verwendete Röntgenstrahlung ist, desto stärker sind die Bilder verrauscht und desto schwieriger wird es, kleine Polypen zu erkennen. Ein an der Universität Düsseldorf entwickeltes Verfahren kann das Rauschen eliminieren, ohne feine Strukturen zu verschmieren. Dadurch ist es möglich, die Intensität der Strahlung auf den kleinsten möglichen Wert der Geräte (10 mAs) einzustellen, so dass die Dosis nur noch etwa 1 mSv beträgt.

Links sind die Originaldaten, rechts die entrauschten Daten abgebildet.

Der mit Luft gefüllte Darminnenraum erscheint schwarz. Bei anderer Kontrasteinstellung wird jedoch deutlich, dass auch im Darminnenraum das Rauschen so stark sein kann, dass Luft und dünne Darmfalten stellenweise nicht anhand der Helligkeitswerte unterschieden werden können. Nach dem Entrauschen ist dies dann möglich.
koronar_ori koronar_glatt
detail_ori detail_glatt